Bewahren Sie Ihr Lächeln – ein Leben lang.

Retainer sind der letzte Schritt Ihrer kieferorthopädischen Behandlung – entwickelt, um Ihr neues Lächeln nach Abschluss der Therapie zu erhalten. Sie werden individuell angefertigt und sind angenehm zu tragen, damit sich Ihre Zähne nicht zurückverschieben.

Termin buchen

Retainer(schienen) können herausnehmbar oder festsitzend sein und halten Ihre Zähne nach der Behandlung in ihrer neuen Position. In den meisten Fällen werden sie nachts oder stundenweise getragen – abhängig von Ihrem individuellen Behandlungsplan. Festsitzende Retainer sind auf der Innenseite der Zähne verankert und sollten 1x pro Jahr kontrolliert werden.

Fünf einfache Schritte

Ihr Weg mit dem Retainer

hoher Komfort durch digitalen Scan anstatt konventionellen Abdrücken dank moderner Kieferorthopädie Wolfratshausen
Schritt 1

Anpassung

Wir nehmen Abdrücke oder digitale Scans, um Ihren individuellen Retainer herzustellen.

Schritt 2

Erste Tragephase

Sie tragen die Retainerschiene für einige Monate ganztägig, um Ihre Zahnstellung zu stabilisieren. Beim festsitzenden Retainer entfällt diese Phase

Erstset Aligner mit Alignern, Aufbewahrungsboxen, Spangenbox und Erklärblatt für eine professionelle Aufklärung Aligner und Einführung
Schritt 3

Übergang zum Teilzeit-Tragen

Sobald die Stabilität bestätigt ist, wechseln die meisten Patienten zum Tragen nur in der Nacht.

Schritt 4

Langfristige Kontrolle

Wir vereinbaren gelegentliche Kontrolltermine, um sicherzustellen, dass Ihr Retainer bzw. die Retainerschiene weiterhin richtig sitzt.

Schritt 5

Ersatz oder Anpassung

Sollte Ihr Retainer oder Ihre Retainrschiene verschleißen oder nicht mehr passen, helfen wir Ihnen, ihn zu erneuern oder anzupassen.

Unsere Funktionen

Warum Retainer wichtig sind

Einfach in der Anwendung & Pflegeleicht

Tragen Sie ihn einfach wie angewiesen – ohne Drähte, ohne Nachstellen.

Hält Ihr Lächeln stabil

Retainer sichern die Zähne in ihrer neuen Position, während sich Knochen und Gewebe anpassen.

Individueller Tragekomfort

Entwickelt, um sich natürlich und passgenau anzufühlen – fast so, als wäre er gar nicht da.

Mehr erfahren

Was bedeutet KFO 360° eigentlich?

Lächeln ist einzigartig – genau wie unsere Betreuung. Von der Diagnose bis zur Behandlung nutzen wir moderne Technologien und einen persönlichen Ansatz, um Ihre kieferorthopädische Behandlung klar, angenehm und individuell zu gestalten. Sehen Sie sich das Video an, um zu erfahren, wie wir unsere Patienten in jedem Schritt unterstützen.

Der letzte Schritt Ihrer Behandlung

Retainer sind nach festen Zahnspangen oder Alignern unverzichtbar. Sie sind die beste Wahl, wenn Sie Ihr schönes Lächeln langfristig bewahren möchten.

Nach jeder kieferorthopädischen Behandlung

Ob Aligner, feste Zahnspange oder andere Geräte – Retainer bzw. Retainerschienen sichern Ihre Ergebnisse langfristig.

Verhindert Zahnverschiebungen

Da sich Zähne im Laufe der Zeit natürlich verschieben können, verhindert der Retainer bzw. die Retainerschienen genau das.

Für langfristiges Selbstbewusstsein

Schützen Sie Ihr neues Lächeln über Jahre hinweg durch konsequente Retainer-Nutzung und -kontrolle.

Fehlbiss?

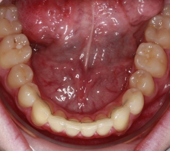
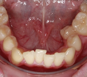
Vorher & Nachher – Stabile Erfolge

Retainer halten Ihr Lächeln stabil – sehen Sie, wie sie langfristig wirken.

Entstände
gerade Zähne mit Retainer

Ich fühle mich dank meines festsitzenden Retainers total sicher. Ich weiß, dass sich meine Zähne nicht mehr verschieben können und spüre ihn fast gar nicht mit meiner Zunge.

Behandlungsdauer

25 Monate

Komfort

95%

Pflegetipps für herausnehmbare Retainer

  • Nach dem Herausnehmen abspülen

    Halten Sie Ihren Retainer sauber, indem Sie ihn jedes Mal mit lauwarmem Wasser abspülen.

  • Gründlich reinigen

    Reinigen Sie täglich Ihren Retainer mit einer harten Zahnbürste (ohne Zahnpasta), um Ablagerungen zu vermeiden.

  • Intenstiv-Pflege

    Wenn sich Beläge gebildet haben, die sich mit der Zahnbürste nicht mehr lösen lassen, gönnen Sie Ihrem Retainer eine Tiefenreinigung mit speziellen Reinigungstabletten für Zahnspangen. Bei Retainer-Schienen nur lauwarmes Wasser verwenden – kein heißes, sonst kann sich die Schiene verformen.

  • Sicher aufbewahren

    Legen Sie Ihren Retainer immer in die Aufbewahrungsbox, wenn Sie ihn nicht tragen, um Verlust oder Schäden zu vermeiden.

Lassen Sie uns Ihr Lächeln bewahren

Möchten Sie Ihre Ergebnisse schützen? Wir helfen Ihnen, den passenden Retainer zu finden, erklären die richtige Anwendung und sorgen dafür, dass Ihr Lächeln optimal erhalten bleibt.

Termin buchen

Lassen Sie uns Ihr Lächeln bewahren

Was ist ein Retainer und warum brauche ich ihn?

Nach einer erfolgreichen Zahnkorrektur müssen sich die Zähne zunächst in ihrer neuen Position stabilisieren. Ein Retainer sorgt dafür, dass die Zähne dort bleiben, wo sie hingehören, und sich nicht wieder verschieben.

Ohne Retainer besteht eine hohe Wahrscheinlichkeit, dass sich die Zähne im Laufe der Zeit erneut bewegen – selbst nach Jahren.

Welche Arten von Retainern gibt es?

Es gibt zwei Hauptarten von Retainern:

– Festsitzender (geklebter) Retainer – ein dünner Draht, der individuell angefertigt und dauerhaft an der Innenseite der Frontzähne befestigt wird. Er ist unsichtbar, angenehm zu tragen und wirkt rund um die Uhr.
– Herausnehmbarer Retainer – eine durchsichtige oder aus Kunststoff gefertigte Schiene, die überwiegend nachts getragen wird, um das Ergebnis langfristig zu stabilisieren.

Viele Patientinnen und Patienten erhalten eine Kombination beider Varianten für maximale Sicherheit.

Wie lange muss ich den Retainer tragen?

Ein festsitzender Retainer kann über viele Jahre (oft 10 Jahre oder länger) im Mund bleiben, solange er intakt ist und regelmäßig kontrolliert wird.

Herausnehmbare Retainer werden vor allem nachts getragen – anfangs täglich, später nur noch einige Nächte pro Woche.

Ihr Kieferorthopäde erklärt Ihnen genau, wann und wie Sie die Tragezeit reduzieren können – meist ist eine gewisse Langzeit-Stabilisierung lebenslang sinnvoll.

Wie läuft die Retainer-Behandlung nach Abschluss der aktiven Phase ab?

Nach Abschluss der Zahnkorrektur:
– nehmen wir einen Abdruck oder digitalen Scan,
– fertigen Ihren individuellen Retainer (fest oder herausnehmbar),
– prüfen den Sitz und Komfort beim Einsetzen und
– vereinbaren Kontrolltermine zur Stabilitätsüberwachung.

Wie pflege ich meinen Retainer richtig?

Für festsitzende Retainer:
– Mit einer Interdentalbürste oder Zahnseide mit Einfädelhilfe reinigen.
– Sehr harte Lebensmittel (z. B. Äpfel, Nüsse) nicht direkt auf dem Retainer abbeißen.

Für herausnehmbare Retainer:
– Nach jeder Nutzung mit kaltem oder lauwarmem Wasser abspülen.
– Täglich mit einer weichen Zahnbürste und milder Seife oder Reinigungstablette reinigen.
– Immer in der Aufbewahrungsbox aufbewahren, wenn er nicht getragen wird.

Wie oft sollte mein Retainer kontrolliert werden?

Wir empfehlen eine Kontrolle ein- bis zweimal pro Jahr.

Wenn der Retainer locker ist, sich ein Zahn verschiebt oder der Draht piekst, melden Sie sich bitte zeitnah – kleine Anpassungen verhindern größere Verschiebungen.

Mein festsitzender Retainer hat sich gelöst oder verbogen – was tun?

Bitte nicht selbst ziehen oder drücken.
Wenn sich der Draht gelockert oder verbogen hat, kontaktieren Sie uns schnellstmöglich – wir befestigen oder ersetzen ihn.

Ein beschädigter Retainer kann Zahnbewegungen verursachen, wenn er nicht rechtzeitig repariert wird.

Die Zähne verschieben sich trotz Retainer – was tun?

Wenn Sie merken, dass der Retainer schwerer einzusetzen ist oder Druck entsteht, kann das ein Zeichen für eine Lockerung oder unregelmäßiges Tragen sein.

Bitte melden Sie sich umgehend – wir prüfen den Retainer und verhindern, dass sich die Zähne weiter verschieben.

Alle FAQs anzeigen