Flexibel. Sanft. Einfach in der Anwendung.

Häufig bei Frühbehandlungen von Kindern oder für kleinere Korrekturen eingesetzt, sind sie leicht zu tragen und herauszunehmen – ideal für wachsende Lächeln oder weniger komplexe Fälle.

Termin buchen
Kind ist happy über seine funktionskieferorthopädisches Gerät für ganzheitliche Kieferorthopädie für Kinder

Herausnehmbare Spangen sind angenehm, schonend und wirkungsvoll. Sie schaffen Platz oder unterstützen und fördern das Kieferwachstum und lassen sich zum Reinigen einfach herausnehmen. Wir behandeln ganzheitlich nach unserem KFO360° Konzept und verbessern nicht nur die Kaufunktion, sondern auch die Nasenatmung, die Zungenruhelage, die Aussprache und Schnarchen, häufige Kopfschmerzen bis hin zu Migräne.

Sieben einfache Schritte

Ihr Weg zur herausnehmbaren Spange

happy Kinder stehen vor Aquarium in kinderfreundlichen Praxisräumen Wolfratshausen
Schritt 1

Erstberatung

In einer kinderfreundlichen und entspannten Atmosphäre hören wir Ihre Wünsche und die Vorgeschichte Ihres Kindes an, untersuchen den gesamten Kauapparat und den Körper und beraten Sie ganzheitlich nach unserem KFO360-Konzept.

digitale Abformung der Zähne in moderner Praxis mit high-tech Ausstattung
Schritt 2

Anfangsunterlagen

Wir fertigen spielerisch Abdrücke, Röntgenbilder und Fotos an. Diese werten wir anschließend nach unserem ganzheitlichen Konzept aus. Denn für uns zählt nicht nur die Ausrichtung der Zähne – entscheidend ist die Balance des gesamten Kauapparates, damit Ihr Kind langfristig gesund und mit einem schönen Lächeln durchs Leben geht.

Schnachren, verkürztes Zungenbändchen, myofunktionelle Therapie, Zungenruhelage, Atemwegsverengung, Kieferentwicklung, Frühbehandlung Kinder. Das alles wird bei der Erstuntersuchung angeschaut und anschließend mit dem Patienten bzw. den Eltern besprochen.
Schritt 3

Besprechung

Wir nehmen uns viel Zeit, um Ihnen unser ganzheitliches Behandlungskonzept klar und verständlich zu erklären. Dabei stellen wir Ihnen passende Behandlungsalternativen vor und legen großen Wert darauf, dass Sie nachvollziehen können, warum wir behandeln und welchen Nutzen die Therapie für Ihr Kind hat. So stehen Sie hinter der Behandlung und haben ein gutes Gefühl.

kieferorthopädische Beratung und kieferorthopädische Frühbehandlung mit loser Zahnspange in ganzheitlicher Kieferorthopädie Wolfratshausen
Schritt 4

Anpassung der Zahnspange

Sobald die herausnehmbare Zahnspange fertig ist, stellen wir sicher, dass sie bequem sitzt und zeigen Ihnen, wie Sie sie richtig verwenden. Die Kinder freuen sich über Ihre selbst ausgesuchte Farbe und ihr Symbole / Motiv in der Spange.

Reinigung Zahnspange, Tragezeit Zahnspange und Aktivierung der Dehnschraube wird dem Mädchen von Fachzahnärztin für Kieferorthopädie Dr. Jilek in ganzheitlicher Fachpraxis für Kieferorthopädie Prof. Jilek erklärt
Schritt 5

Regelmäßiges Tragen

Das regelmäßige Tragen ist für den Behandlungserfolg sehr wichig: häufig mehrere Stunden am Tag oder über Nacht.

regelmäßige Kontrolltermine der angenehmen Zahnspange für Kinder in Wolfratshausen
Schritt 6

Kontrollen & Anpassungen

Wir überprüfen regelmäßig Ihre Fortschritte und nehmen bei Bedarf Feinanpassungen vor.

erster Termin herausnehmbare Zahnspange mit Vater und Kind.
Schritt 7

Stabilisierung und Weiterbehandlung

Nach Erreichen des Ziels mit der herausnehmbaren Zahnspange besprechen wir den Abschluss, Übergang oder eine kurze Pause bis alle bleibenden Zähne da sind und wir mit der Behandlung weiter fortfahren können.

Unsere Funktionen

Warum unsere Patient:innen herausnehmbare Zahnspangen bevorzugen

Herausnehmbar & Praktisch

Nehmen Sie die Spange bei Bedarf heraus – einfach beim Essen, Zähneputzen oder zu besonderen Anlässen.

Sanft zu den Zähnen

Übt leichten Druck aus und ist daher eine angenehme Option Behandlungsmöglichkeit schonende, schrittweise Veränderungen.

Unterstützt Frühbehandlungen

Hilft bei der Steuerung von Zahn- und Kieferentwicklung, bevor die Feineinstellung mit anderen Behandlungsgeräten erfolgt.

Mehr erfahren

Was bedeutet KFO 360° eigentlich?

Jedes Lächeln ist einzigartig – genau wie unsere Betreuung. Von der Diagnose bis zur Behandlung nutzen wir moderne Technologien und einen ganzheitlichen Ansatz. In dem Video zeigen wir Ihnen unsere Behandlungsschritte.

Ist eine herausnehmbare Zahnspange das Richtige für Ihr Kind?

Wenn Sie eine Teilzeitlösung suchen oder nur eine leichte Zahnfehlstellung haben, können herausnehmbare Zahnspangen eine kluge Wahl sein.

Für wachsende Lächeln

Ideal für Kinder in der frühen Entwicklung, die eine sanfte Korrektur ohne feste Spange benötigen.

Für kleinere Korrekturen

Ideal, wenn nur geringe Zahnbewegungen notwendig sind oder Sie bereits eine feste Spange abgeschlossen haben.

Als Vorbehandlungsphase

Dient dazu, Zähne oder Kieferposition für eine spätere kieferorthopädische Behandlung vorzubereiten.

Fehlbiss?

Vorher & Nachher – echte Ergebnisse mit herausnehmbaren Zahnspangen

Sehen Sie, wie herausnehmbare Zahnspangen die Zähne sanft über die Zeit bewegen – echte Ergebnisse, echte Geschichten.

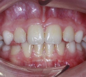
Kreuzbisse rechts & Zwangbiss X-Biss und Mittenabweichung des Unterkiefers wegen Zwangsbiss
Keine Kreuzbisse & kein Zwangsbiss Ergebnis nach Zahnspange Kinder

Meine Tochter hat keine Kopfschmerzen mehr, seitdem der Kreuzbiss korrigiert wurde. Es war eine gute Entscheidung, mit der kieferorthopädischen Behandlung zu beginnen.

Behandlungsdauer

9 Monate

Kopfschmerzen

99% korrigiert

Fehlbiss?

Vorher & Nachher – echte Ergebnisse mit herausnehmbaren Zahnspangen

Sehen Sie, wie herausnehmbare Zahnspangen die Zähne sanft über die Zeit bewegen – echte Ergebnisse, echte Geschichten.

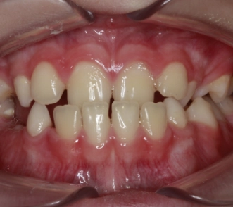
Kreuzbisse frontal Kieferfehlstellung progener Unterkiefer
Kein Kreuzbiss Überstellen des Kreuzbisses mittels loser Spange in Kieferorthopädischer Fachpraxis Prof. Jilek in Wolfratshausen

Mein Sohn kann seitdem viel besser Essen und Sprechen. Es war richtig, mit einer kieferothopädischen Behandlung zu beginnen, obwohl noch viele Milchzähne vorhanden sind und er noch jung ist.

Behandlungsdauer

10 Monate

Zufriedenheit

100%
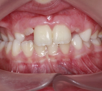
Kieferfehlstellung progener Unterkiefer

Treatment Duration

18 months
Überstellen des Kreuzbisses mittels loser Spange in Kieferorthopädischer Fachpraxis Prof. Jilek in Wolfratshausen

Treatment Duration

18 months
locker Zahnspangen München Süd in wählbaren Farben für Kinder

Pflegehinweise für herausnehmbare Zahnspangen

  • Tägliche Reinigung

    Reinigen Sie Ihre Spange täglich mit Zahnbürste. Bei Ablagerungen helfen Tabletten oder Zitronensäure, dann gründlich mit Wasser abspülen.

  • Sicher aufbewahren

    Wenn Sie Ihre Spange nicht tragen, legen Sie sie immer in unsere Spangenbox, die wir Ihnen schenken – so ist sie bestens geschützt und geht nicht verloren.

Machen Sie den ersten Schritt zu einem gesünderen Lächeln

Ob Frühbehandlung für Ihr Kind oder eine sanfte Korrektur für Sie selbst – herausnehmbare Zahnspangen bieten einen einfachen, wirksamen Start. Vereinbaren Sie noch heute eine unverbindliche Beratung in Wolfratshausen – wir begleiten Sie Schritt für Schritt."

Termin buchen

Häufig gestellte Fragen

Die lose Zahnspange drückt – was tun?

Wenn Ihre lose Zahnspange drückt, schauen Sie bitte genau, wo der Druck entsteht.

Drückt die Spange auf die Zähne?

Bei jeder Kontrolle überprüfen wir den Halt und passen die Drähte an. Manchmal merkt man zu Hause, dass der Druck zu stark ist – dann muss der Draht nachjustiert werden.

Bitte vereinbaren Sie einen Termin und tragen Sie die Spange bis dahin nicht weiter.

Drückt die Spange auf das Zahnfleisch?

Ein verbogener Draht oder der Kunststoff kann am Zahnfleisch reiben und Druckstellen verursachen. Wir glätten die Stelle und versorgen sie mit Wundheilsalbe.

Bitte nicht weitertragen und Termin vereinbaren.

Kippelt die Spange und drückt gleichzeitig?

Das ist meist ein Zeichen dafür, dass zu oft geschraubt und zu wenig getragen wurde. Drehen Sie die Schraube 3–4 Mal zurück und testen Sie erneut. Wenn sie immer noch nicht passt, kommen Sie bitte zu uns.

Die Zahnspange ist beschädigt – was tun?

Was Sie tun sollten, hängt davon ab, welcher Schaden aufgetreten ist:

Wenn ein Draht verbogen oder locker ist und es weh tut, tragen Sie die Spange nicht und vereinbaren einen Termin.

Ist der Draht locker, aber es tut nicht weh, können Sie sie weitertragen; wir kontrollieren es beim nächsten Termin.

Ist der Draht gebrochen und scharf, bitte nicht tragen und Termin vereinbaren.

Ist der Draht gebrochen, aber glatt und schmerzfrei, können Sie die Spange bis zur Kontrolle weitertragen.

Wenn die Spange locker sitzt oder herausfällt, vereinbaren Sie bitte einen Termin – wir passen sie an.

Ist die Kunststoffplatte gebrochen und scharfkantig, nicht tragen und Termin vereinbaren.

Ist die Kunststoffplatte nur leicht gerissen und es tut nicht weh, können Sie sie vorerst weitertragen, rufen Sie aber an, wenn der Riss größer wird.

Wenn die Spange wackelt oder nicht mehr passt, drehen Sie die Schraube 3 Mal zurück und testen Sie erneut. Passt sie immer noch nicht, kommen Sie bitte zu uns.

Fühlt sich die Spange insgesamt unangenehm an, nicht weitertragen und Termin vereinbaren.

Wenn die Spange in zwei Teile gebrochen ist, sofort Kontakt aufnehmen – wir fertigen eine neue an.

Unser Tipp: Melden Sie sich lieber einmal zu viel als zu wenig – wir reparieren schnell, damit Sie die Spange wieder angenehm tragen können und die Behandlung reibungslos weiterläuft.

Wie kann ich Schäden an der Zahnspange vermeiden?

– Spange immer vorsichtig einsetzen und herausnehmen.
– Beim Sport und Essen besser herausnehmen.
– Immer in der Box aufbewahren, wenn sie nicht getragen wird.
– Regelmäßig und behutsam reinigen (kein heißes Wasser).

Die lose Zahnspange ist locker und passt nicht mehr richtig – was tun?

Wenn die Spange wackelt oder nicht mehr sitzt, wurde sie wahrscheinlich zu selten getragen. Oft wurde zwar regelmäßig geschraubt, aber zu wenig getragen – der Kiefer hat sich nicht angepasst.

Was Sie tun können: Drehen Sie die Schraube 3 Mal zurück und setzen Sie die Spange wieder ein. Wenn sie immer noch nicht sitzt, bitte keine weiteren Versuche – kommen Sie zur Anpassung.

Tut das Tragen einer losen Zahnspange weh?

Nein – normalerweise nicht. Nach dem Nachstellen oder Schrauben kann ein leichter bis mittlerer Druck auftreten, das ist normal und zeigt, dass die Spange wirkt.

Wenn Sie jedoch starke oder anhaltende Schmerzen haben, tragen Sie die Spange nicht weiter und melden Sie sich bei uns.

Ich habe Zahnschmerzen beim Tragen der losen Zahnspange – was tun?

Leichter Druck nach dem Nachstellen ist normal und klingt nach 1–3 Tagen ab. Wenn die Schmerzen zunehmen oder bleiben, kann ein Draht zu stark drücken oder die Spange nicht mehr richtig sitzen.

Bitte melden Sie sich, wenn der Schmerz länger als 3 Tage anhält, sehr stark ist oder zusätzliche Beschwerden wie Schwellungen auftreten. Wir überprüfen dann die Passung und nehmen die notwendigen Anpassungen vor.

Die Zahnspange fällt nachts heraus – was tun?

Wenn die Spange nachts aus dem Mund rutscht, sitzt sie nicht mehr optimal. So geht der kontinuierliche Druck verloren und die Behandlung verlangsamt sich.

Bitte vereinbaren Sie einen kurzen Kontrolltermin – wir passen sie so an, dass sie auch nachts sicher sitzt.

Wie lange muss mein Kind eine herausnehmbare Zahnspange tragen?

Die Tragezeit hängt vom Befund ab. In der aktiven Behandlungsphase sollte die Spange mindestens 14–16 Stunden täglich getragen werden, nicht nur nachts. Diese Phase dauert meist 12–18 Monate. Danach wird sie oft weiter nachts zur Stabilisierung getragen.

Ich habe die Zahnspange verloren – was soll ich tun?

Wenn die Spange nicht mehr auffindbar ist, melden Sie sich bitte sofort bei uns. Wir können rasch Ersatz anfertigen, damit die Behandlung nicht unterbrochen wird.

Wie schraube bzw. aktiviere ich die lose Zahnspange richtig?

Führen Sie den Schraubenschlüssel in das sichtbare Loch ein und drehen Sie in Pfeilrichtung bis zum Anschlag – niemals darüber hinaus.

test

Treatment costs vary depending on individual needs. Book a consultation for an exact quote.

Alle FAQs anzeigen