Digitale Positionierung von Minischrauben für sichere, stabile Zahnbewegungen

Die digitale Positionierung ermöglicht es uns, Minischrauben (Pins / TADs) mit absoluter Präzision zu setzen – für Stabilität, Komfort und Wirksamkeit von Anfang an.

Buchen Sie jetzt Ihren Scan

Kleine Pins, große Wirkung

Mini-Pins sind zwar klein, spielen aber eine große Rolle bei der Führung komplexer Zahnbewegungen. Mithilfe digitaler Tools planen wir ihre Platzierung für maximale Wirkung und minimales Risiko.

Intelligentere Diagnostik

Die Technologie hinter Ihrem Lächeln

Wir verwenden modernste Werkzeuge, um Ihren Kiefer und Biss in Echtzeit zu überwachen – so können wir Behandlungen planen, die nicht nur großartig aussehen, sondern sich auch richtig anfühlen.

Unsere Funktionen

Ihr Nutzen durch präzise Pin-Planung

Weniger Komplikationen

Die digitale Platzierung verhindert Fehlstellungen und reduziert Schmerzen.

Bessere Passform der Apparaturen

Pins verankern Ihre Geräte – daher sind Passgenauigkeit und Kraftrichtung entscheidend.

Stärkere Bewegungs­kontrolle

Wir können einzelne Zähne noch präziser bewegen.

Schnellere Fortschritte

Mit besserer Verankerung bleibt Ihre Behandlung auf Kurs.

Pin-Setzung direkt in unserer Praxis

Die Pins werden bei uns vor Ort gesetzt – keine zusätzlichen Termine oder externe Koordination nötig.

Wie die Pin-Positionierung funktioniert

Wir nutzen DVT- oder 3D-Aufnahmen, um Ihren Kiefer präzise darzustellen und den idealen Platz für jeden Pin zu bestimmen.

Beginnen Sie Ihre Reise
Schritt 1

Scan, DVT & Überlagerung

Wir analysieren Knochen, Nervenbahnen und Wurzeln, um die sichersten Pin-Zonen festzulegen.

Schritt 2

Digitale Pin-Planung

Wir nutzen Software, um die präzise Platzierung der Pins zu planen – für eine optimale Kraftrichtung, abgestimmt auf Ihre Anatomie und Bewegungsziele.

Nach einer ganzheitlichen Erstuntersuchung Teenager folgt eine ausführliche Erstbesprechung der Untersuchungsergebnisse mit den Eltern und der Patientin.
Schritt 3

Geführte Platzierung

Wir setzen den Plan während der Behandlung um – für eine komfortablere und präzisere Platzierung.

Schritt 4

Echtzeit-Anpassung

Wir überwachen die Stabilität der Pins und nehmen bei Bedarf Anpassungen während der Behandlung vor.

Bei jedem Termin kontrolliert eine Zahnärztin den Behandlungsfortschritt während Kieferorthopädie in Wolfratshausen.

Wann Präzisions-Pins sinnvoll sind

Mini-Pins setzen wir vor allem in komplexeren Fällen ein – zum Beispiel beim Schließen von Lücken, dem gezielten Bewegen einzelner Zähne oder beim Verankern von Apparaturen, ohne andere Zähne zu belasten.

Für komplexe Bewegungen

Besonders dann, wenn Zähne in entgegengesetzte Richtungen bewegt werden müssen.

Statt Kopfgear

Wir verankern Pins anstelle externer Geräte, die auf der Außenseite um den Kopf herum geführt werden müssen.

Für Fälle mit mangelnder Mitarbeit

Besonders hilfreich, wenn Gummizüge nicht regelmäßig getragen werden.

Patientenstimmen

Was Patienten berichten

Kleine, aber starke Helfer mit großem Effekt.

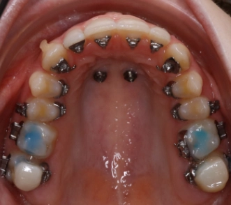
digitale Pin Planung
2 Gaumenpins

„Ich war nervös wegen der Pins, aber das Einsetzen war schnell und schmerzfrei – und meine Behandlung verlief schneller als erwartet.“

Dauer des Pin Sitzens

15 Minuten

Stabilität

99 % stabil

Gesundheitsvorteile

Garantie für ein gutes und schonendes Behandlungsergebnis mit kürzest möglicher Behandlungsdauer.

„Sie erklärten mir genau, wo und warum jeder Pin gesetzt wird. Ich fühlte mich vollkommen sicher und informiert.“

„Ich hatte weder beim Einsetzen noch in den Tagen danach Schmerzen.“

Bereit für mehr Stabilität durch smarte Planung?

Fragen Sie nach unserer digitalen Pin-Planung und erfahren Sie, wie wir smarte Tools einsetzen, um auch die schwierigsten Bewegungen zu unterstützen.
Entdecke deinen Behandlungsplan →

Häufig gestellte Fragen

Tut es weh, wenn Mini-Pins (TADs, Minischrauben) eingesetzt werden?

Überhaupt nicht! Das Einsetzen geht schnell und ist in der Regel kaum unangenehm. Die meisten Patienten:innen berichten nur von leichtem Druck – und sind überrascht, wie einfach es ist.

Warum brauche ich überhaupt Pins? Können das nicht meine Zahnspange oder Aligner übernehmen?

In manchen Fällen brauchen Zahnspangen oder Aligner etwas zusätzliche Unterstützung, um Zähne genau dorthin zu bewegen, wo sie hingehören. Pins wirken wie kleine Anker und geben uns mehr Kontrolle – besonders bei schwierigen Bewegungen.

Bleiben die Pins während der gesamten Behandlung im Mund?

Meistens ja. Denn Sie können ggf. noch für andere Zahnbewegungen gebraucht werden. Nach der Behandlung entfernen wir sie schnell und schmerzfrei innerhalb nur wenigen Minuten.

Sind Mini-Implantate sicher?

Ja – wir nutzen digitale Scans, um den sichersten Platz für die Positionierung zu finden und Nerven sowie Wurzeln zu vermeiden. So wird der gesamte Prozess sicher und präzise.

Wie pflege ich die Pins zu Hause?

Ganz einfach. Putzen Sie vorsichtig an den Pin hin und drum heraum als wäre er ein echter Zahn. Wir empfehlen zusätzlich noch mit Einbüschelbürsten das Zahnfleisch um den Pin herum zu massieren und putzen. Die meisten Patienten müssen ihre Routine kaum anpassen.
Sollte es zu Zahnfleischentzündungen kommen, empfehlen wir Wundheilsalben mehrmals täglich aufzutragen bis die Entzündung wieder verheilt ist.

Alle FAQs anzeigen