Unauffällig. Und doch besonders.

Keramikbrackets sind die elegante Alternative zur klassischen Metallspange. Dank zahnfarbener oder transparenter Brackets sind sie kaum sichtbar – perfekt für alle, die Wert auf eine unauffällige Behandlung legen, ohne auf die bewährte Wirkung fester Spangen zu verzichten.

Termin buchen
Zahnmodelle mit zahnfarbene Brackets aus Keramik, Metallzahnspange mit modernen Brackets oder älteres Bracketsystem

In Kombination mit Metalldrähten bewegen Keramikbrackets Ihre Zähne Schritt für Schritt in die gewünschte Position. Sie bieten die gleiche zuverlässige Wirkung wie klassische Metallspangen, wirken jedoch deutlich dezenter – und sind deshalb besonders bei Erwachsenen und Jugendlichen sehr beliebt.

Fünf einfache Schritte

Ihr Weg mit Keramikspangen

Schritt 1

Beratung & Diagnostik

Wir untersuchen den gesamten Kauapparat, erstellen digitale Messungen und werten sie aus.

Schritt 2

Planung und Aufklärung

Wir erstellen einen auf Sie persönlich abgestimmten Behandlungsplan, den wir Ihnen an einem Termin außerhalb der Sprechstunde allumfassend erklären.

Schritt 3

Brackets einsetzen

Wir setzen die Keramikbrackets präzise ein und starten Ihre Behandlungsreise.

Bei jedem Termin kontrolliert eine Zahnärztin den Behandlungsfortschritt während Kieferorthopädie in Wolfratshausen.
Schritt 4

Sanfte Anpassungen

Durch regelmäßiges Nachstellen der Drähte bewegen wir Ihre Zähne präzise und schonend; bei Kontrollen prüfen wir den Fortschritt.

Schritt 5

Fortschrittskontrolle

Während der Aligner-Behandlung prüfen wir Zähne, Muskulatur und Kiefergelenke und justieren bei Bedarf einzelne Zähne – für ein schönes, funktionierendes Lächeln.

Kieferorthopädin kontrolliert den Behandlungsfortschritt bei einem Kontrolltermin feste Zahnspange Wolfratshausen bei einer Patientin mit fester Zahnspange bei komplexen Zahnfehlstellungen
Schritt 6

Neues Lächeln & Retainer

Nach Abschluss der Behandlung entfernen wir die Brackets und geben und stabilisieren die Zähne mit einem Retainer, um Ihr neues Lächeln dauerhaft zu erhalten.

Unsere Funktionen

Warum sich unsere Patient:innen für Keramikspangen entscheiden

Unauffälliges Design

Zahnfarbene oder klare Brackets fügen sich harmonisch in Ihre Zähne ein und sorgen für ein dezentes Erscheinungsbild.

Zuverlässige Ergebnisse

Keramikbrackets sind ebenso effektiv wie Metallbrackets, aber deutlich unauffälliger.

Sanft & beständig

Keramikbrackets sorgen für gleichmäßige Bewegungen mit weniger Reizungen.

Mehr erfahren

Was bedeutet KFO 360° eigentlich?

Jedes Lächeln ist einzigartig – genau wie unsere Betreuung. Von der Diagnose bis zur Behandlung nutzen wir moderne Technologien und einen persönlichen Ansatz, um Ihre kieferorthopädische Behandlung klar, angenehm und individuell zu gestalten. Sehen Sie sich das Video an, um zu erfahren, wie wir unsere Patienten in jedem Schritt unterstützen.

Wann Keramikspangen die richtige Wahl sind

Keramikspangen verbinden dezente Ästhetik mit bewährter Wirksamkeit fester Spangen – die ideale Wahl für eine unauffällige und zuverlässige Behandlung.

Für Jugendliche & Erwachsene

Die dezente Lösung für alle, die sich eine unauffällige Zahnkorrektur wünschen – perfekt im Berufsleben und im sozialen Umfeld.

Perfekt für Bewerbungsgespräche, Fotos & den Alltag

Fühlen Sie sich während der Behandlung sicherer – ohne Abstriche bei der Wirksamkeit.

Für Ästhetik & Effizienz

Keramikbrackets verbinden ein unauffälliges, elegantes Erscheinungsbild mit der vollen Wirksamkeit fester Zahnspangen.

Fehlbiss?

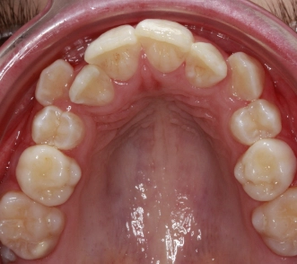
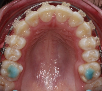
Vorher & Nachher – dezente Spangen, beeindruckende Ergebnisse

Entdecken Sie, wie Keramikbrackets selbstbewusste Ergebnisse ermöglichen – ganz ohne viel Aufmerksamkeit zu erregen.

Ich bin sehr zufrieden mit meinem Ergebnis. Dass ich Keramikbrackets gewählt habe, war genau die richtige Entscheidung. Man hat meine Spange kaum gesehen.

Fachzahnärztin für Kieferorthopädie Dr. Jilek zeigt jungen Mann eine Zahnspange hinter den Zähnen

Behandlungsdauer

23 Monate

Bracketverlust

0
Fachzahnärztin für Kieferorthopädie Dr. Jilek zeigt jungen Mann eine Zahnspange hinter den Zähnen
Fachzahnärztin für Kieferorthopädie Dr. Jilek zeigt jungen Mann eine Zahnspange hinter den Zähnen

Pflegetipps für Keramikspangen

  • Tägliche Zahnpflege

    Richtig gepflegte Keramikbrackets bleiben klar; wir zeigen Tipps und Techniken für ein strahlend schönes Lächeln.

  • Vermeiden Sie verfärbende Lebensmittel

    Reduzieren Sie Kaffee, Tee und rote Soßen, um die Brackets klar zu halten.

  • Beschwerden lindern

    Seltene leichte Zahnfleischreizungen am Anfang lassen sich mit Wachs und Tipps schnell lindern.

Sie überlegen Keramikspangen? Lassen Sie uns darüber sprechen.

Lassen Sie uns sprechen. Wir beantworten Ihre Fragen, erklären, wie Keramikspangen funktionieren, und helfen Ihnen zu entscheiden, ob sie die richtige Wahl für Sie sind.

Termin buchen

Häufig gestellte Fragen

Sind Keramikbrackets wirklich weniger sichtbar als Metallbrackets?

Ja! Keramikbrackets sind zahnfarben und passen sich gut an Ihre natürlichen Zähne an. Ganz unsichtbar sind sie nicht – aber deutlich weniger auffällig als die klassische Zahnspange mit Metallbrackets.

Verfärben sich Keramikspangen leicht?

Mit der richtigen Pflege behalten Keramikbrackets ihre klare, dezente Optik. Gründliches Zähneputzen, Zahnseide und der Verzicht auf stark färbende Lebensmittel wie Kaffee oder Curry helfen dabei. Von uns erhalten Sie alle Tipps, damit Ihr Lächeln dauerhaft frisch und ästhetisch bleibt

Sind Keramikspangen empfindlicher?

Keramikbrackets sind härter als Metallbrackets. Wenn ein Bracket direkt auf einen Zahn trifft, kann dieser mit der Zeit abgerieben werden. Deshalb überprüfen wir bei jedem Termin sorgfältig, ob ein Kontakt vorliegt. Bitte achten auch Sie täglich zu Hause darauf, ob ein Zahn ein Bracket berührt. Sollte dies einmal der Fall sein, kontaktieren Sie uns bitte sofort – so können wir schnell reagieren und Ihre Behandlung sicher und erfolgreich fortsetzen.

Dauert die Behandlung mit Keramikspangen länger als mit Metallspangen?

Nein. Die Behandlungszeit ist genauso lange und nicht länger als bei der klassischen Zahnspange aus Metall.

Sind Kermikbrackets teurer als die klassische Zahnspange aus Metall?

Keramikspangen sind durch die hochwertigen Materialien meist etwas teurer als klassische Metallspangen. Viele unserer Patient:innen schätzen jedoch das dezente, elegante Erscheinungsbild – und empfinden den Mehrwert als absolut lohnenswert.

Häufig gestellte Fragen