Funktionell. Integrativ. Medizin weiter gedacht

Wir verstehen den menschlichen Organismus als funktionelles Gesamtsystem und verbinden Schulmedizin, aktuelle wissenschaftliche Erkenntnisse und ausgewählte komplementäre Methoden zu einem integrativen Gesamtkonzept – für Balance, Stabilität und nachhaltige Gesundheit.

Termin buchen

Wir betrachten den Menschen und seinen Organismus als untrennbare Einheit. Unser Ziel ist es nicht nur, Symptome zu lindern, sondern Körperfunktionen nachhaltig zu stabilisieren und – soweit möglich – wiederherzustellen.
Daher arbeiten wir ursachenorientiert und berücksichtigen die vielfältigen Wechselwirkungen und Abhängigkeiten der Körpersysteme.

Bei manchen Patientinnen und Patienten ist eine gezielte Behandlung des Kauapparates ausreichend. Andere profitieren von unserem ganzheitlichen kieferorthopädischen Ansatz, der über den Mundraum hinausgeht.

Ergänzend nutzen wir manuelle Medizin, um funktionelle Störungen im Muskel- und Reflexsystem zu lösen, und integrieren unsere umfassende internistische Kompetenz.
Zähne, Kiefer, Hormonhaushalt, Stoffwechsel, Atmung und Kreislauf sind eng miteinander verbunden und beeinflussen sich gegenseitig.

Unabhängig davon, ob Sie Kind, Jugendlicher, in den besten Jahren Ihres Lebens oder darüber hinaus sind – wir sind in jeder Lebensphase mit unserem tiefgehenden Fachwissen und unserem ganzheitlichen Blick für Sie da und begleiten Sie.

Fünf einfache Schritte

Maximale Ästhetik und Funktion – vereint für Sie

Zahnspangen für Teenager zeigt die Zahnärztin in Wolfratshausen der jungen Patientin, u. a. die innenliegende Zahnspange, auch Lingualtechnik genannt.
Schritt 1

Erstberatung

Wir hören Ihnen gut zu und verstehen Ihre Beschwerden und Ihre Wünsche.

eine Lingualspange bei einer Erwachsenen wird mit einem Spiegel gezeigt
Schritt 2

Digitale Diagnostik

Wir erstellen präzise 3D-Scans, Röntgen und digitale Kiefergelenksmessungen, um Ihren Biss und Ihren gesamten Kauapparat vollständig zu erfassen.

Lingualtechnik für Erwachsene mit kiefergelenksorienterter Zahnkorrektur
Schritt 3

Maßgeschneiderter 3D-Plan

Individuell für Sie entwickelt – für ein ideales Zusammenspiel von Kiefer, Muskeln und Zähnen mit unserem KFO360°-Konzept.

Schritt 4

Bedarfsgerecht ergänzt

Erkennen unsere Kieferorthopädinnen, dass neben dem Kauapparat weitere Funktionssysteme beeinträchtigt sind, beziehen wir unsere funktionelle Medizin gezielt mit ein. So können wir transparent aufzeigen, welche zusätzlichen Maßnahmen sinnvoll sind. Sind alle Systeme im Gleichgewicht, bleiben wir bewusst im Hintergrund. In diesem Fall profitieren Sie vor allem davon, dass unser funktionelles Fachwissen in die 3D-Planung Ihrer Behandlung einfließt.

Unsere Funktionen

Warum Erwachsene & Jugendliche Lingualspangen lieben

Im Alltag wirklich unsichtbar

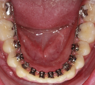
Lingualspangen werden hinter den Zähnen befestigt – niemand sieht sie, wenn Sie lächeln, sprechen oder fotografiert werden.

Individuell für Sie gefertigt

Jedes Bracket und jeder Drahtbogen wird speziell für Ihren Biss angefertigt – mit exakten Zahnbewegungen für perfekten Sitz und noch bessere Ergebnisse.

Überraschend komfortabel

Wir verwenden die flachsten Lingualbrackets auf dem Markt – für eine angenehmere Passform und extra Tragekomfort.

Beruflich & alltagsfreundlich

Diskrete Behandlung, die sich Ihrem Leben anpasst – perfekt für Events, Fotos und alltägliches Selbstbewusstsein ab dem ersten Tag.

Mehr erfahren

Was bedeutet KFO 360° eigentlich?

Lächeln ist einzigartig – genau wie unsere Betreuung. Von der Diagnose bis zur Behandlung nutzen wir moderne Technologien und einen persönlichen Ansatz, um Ihre kieferorthopädische Behandlung klar, angenehm und individuell zu gestalten. Sehen Sie sich das Video an, um zu erfahren, wie wir unsere Patienten in jedem Schritt unterstützen.

Ist dies die richtige Spangen-Option für Sie?

Bei uns gibt es keine Einheitslösung. Jedes Lächeln ist einzigartig – wir helfen Ihnen, die Option zu wählen, die am besten zu Ihrem Lebensstil, Wünschen und Bedürfnissen passt.

Für Berufstätige & Vielsprecher

Ideal, wenn Sie beruflich viel sprechen oder im Rampenlicht stehen – bleiben Sie selbstbewusst ohne sichtbare Spange.

Für komplexe Zahnbewegungen

Eine feste, präzise Lösung, die komplexe Korrekturen diskret und effizient ermöglicht.

Jederzeit fotobereit

Ideal für Hochzeiten, Veranstaltungen oder Content-Erstellung – Ihre Behandlung bleibt auf jedem Foto unsichtbar.

Falscher Biss?

Vorher & Nachher

Sehen Sie, wie Lingualspangen das Aussehen und das Selbstvertrauen verändert haben

schiefe Zähne Eng stehende Zähne, sogenannter Erwachsenerengstand oder primärer Engstand
gerade Zähne (nach 5 Monaten) effektive Zahnbegradigung mit innenliegender Zahnspange, einer sogenannte Lingualtechnik

Ich hätte nie gedacht, dass sich meine Zähne innerhalb nur weniger Monate gerade hinstellen. Ich bin sehr zufrieden und würde es sofort wieder machen.

Fachzahnärztin für Kieferorthopädie Dr. Jilek zeigt jungen Mann eine Zahnspange hinter den Zähnen

treatment duration

5 Monate

Zufriedenheit

100%
Fachzahnärztin für Kieferorthopädie Dr. Jilek zeigt jungen Mann eine Zahnspange hinter den Zähnen
Severe Issues schiefe Zähne, die mit Brackets und einem Bogen gerade gestellt werden
Severe Issues schiefe Zähne mit Metallbrackets und Bogen zur Ergebnissimulation mit digitaler Planung und Knochenanalyse

I can't believe how stable my results are. Five years later and my smile still looks perfect. No more headaches either!

auf Erwachsenen Kieferorthopädie und auf Knirscherschienen spezialisierte Zahnärztin Dr. Yana Welker

Treatment Duration

18 months

Treatment Duration

18 months
auf Erwachsenen Kieferorthopädie und auf Knirscherschienen spezialisierte Zahnärztin Dr. Yana Welker
Als Master of Science Lingual Orthodontics behandelt Dr. Jilek eine junge Patientin mit der Lingualtechnik auf höchstem Niveau.

Pflege- und Wartungstipps

  • Tägliche Reinigung

    Putzen und reinigen Sie wie gewohnt – schenken Sie nur der Rückseite Ihrer Zähne etwas zusätzliche Aufmerksamkeit.

  • Achten Sie auf Ihre Mahlzeiten

    Vermeiden Sie klebrige oder sehr harte Lebensmittel, damit Ihre Zahnspange angenehm und unversehrt bleibt.

  • Komfort-Tipps

    Nutzen Sie orthodontisches Wachs, falls sich anfangs etwas rau anfühlt – das verbessert sich sehr schnell.

Bereit, unsichtbare Spangen zu entdecken?

Lassen Sie uns sprechen. Bei Ihrem ersten Besuch beantworten wir Ihre Fragen, zeigen Ihnen die Möglichkeiten und geben Ihnen einen Überblick und Informationen über die nächsten Schritte

Termin buchen

Häufig gestellte Fragen

Sind Lingualspangen wirklich unsichtbar?

Genau! Sie werden hinter den Zähnen befestigt – niemand sieht sie, wenn Sie lächeln, sprechen oder lachen.

Fühlen sich Lingualspangen unangenehm an?

Es braucht ein wenig Eingewöhnung, besonders für die Zunge – doch die meisten gewöhnen sich innerhalb von ein bis zwei Wochen daran.

Kann ich damit ganz normal essen?

Ja, allerdings empfehlen wir, sehr harte oder klebrige Lebensmittel zu vermeiden. Sie werden schnell merken, was am besten funktioniert.

Beeinflussen sie meine Aussprache?

Anfangs kann ein leichtes Lispeln auftreten, aber keine Sorge – mit etwas Übung verschwindet es in der Regel schnell.

Sind Lingualspangen teurer?

Ja, sie ist teurer als die klassische feste Zahnpange an der Außenseite der Zähne, da sie individuell pro Patientenfall angefertigt wird und die Behandlung handwerklich schwieriger ist und ein höheres Spezialwissen erforderlich ist. Wir besprechen selbstverständlich alle Kosten und Zahlungsoptionen (wie z. B. monatliche Ratenzahlungen) im Voraus mit Ihnen.

Alle FAQs anzeigen