KFO360° – Innovativ. Ganzheitlich und präzise. Für Sie gemacht

Individuell auf Ihr Lächeln und Ihren Lebensstil abgestimmte, ganzheitliche Behandlungen mit langzeitstabilen Ergebnissen – Ästhetik trifft Funktion.

Termin buchen

Unser revolutionär neues Behandlungskonzept KFO360° ist ein ganzheitlicher All-in-One-Ansatz, der jedes Detail Ihres Bisses und den Gesamtkörper berücksichtigt. Mit digitaler 3D- und 4D-Technologie erreichen wir Ergebnisse, die sich natürlich anfühlen, ästhetisch überzeugen und dauerhaft gesund und stabil bleiben.

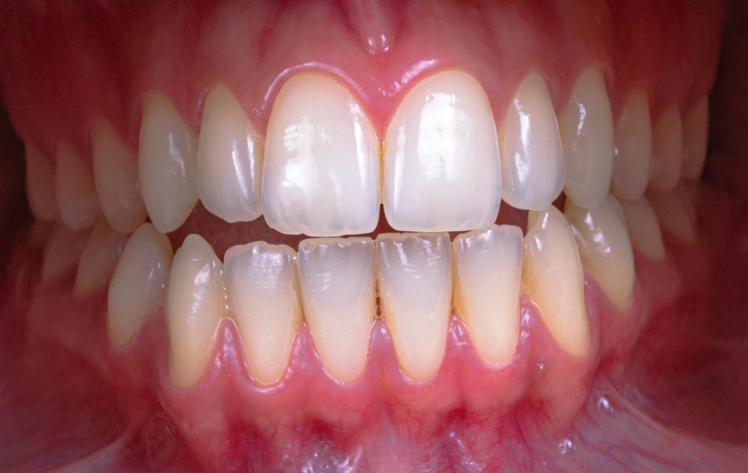
Warum Ihr Biss wichtig ist

Ein gesunder Biss kann mehr, als nur Ihre Zähne schön aussehen zu lassen. Er schützt Ihre Kiefergelenke, Muskulatur, Knochen und Zähne, entspannt die Muskulatur und beugt Kopfschmerzen, Nackenschmerzen, Kiefergelenkerkrankungen und Zahnabrieb vor.

Mit präzisen digitalen Messungen erkennen wir Probleme frühzeitig und behandeln sie schonend.
Machen Sie den 60 Sek. Biss-Check

Unsere Besonderheiten

Was uns mit KFO360° besonders macht

Das 3er Ärzteteam

+ Kieferorthopädie, Zahnmedizin und Medizin

Prof. Dr. Jilek als manueller Mediziner, Dr. Jilek als Fachzahnarzt für Kieferorthopädie und Dr. Welker als Zahnärztin mit Schwerpunkt CMD behandeln nach ihrem Konzept KFO360° - ganzheitlich und volldigital.

gerade Zähne, die auch zum Kiefergelenk passen

+ Planung entlang Ihrer Gelenkachse

Wir richten Ihre Zähne so aus, dass sie sich natürlich zum Kiefergelenk bewegen und ihr gesamter Kauapparat dauerhaft in Balance bleibt.

Ein Biss, der zum Körper passt

+ ganzheitliches Betrachten & Behandeln

Ein falscher Biss beeinflusst den gesamten Körper - sogar die Fußstatik. Prof. Jilek achtet als manueller Mediziner besonders auf körperliche Anzeichen eines falschen Bisses.

3D-Kiefer & Kiefergelenk-Check

+ Ihre Kiefergelenke im Detail

Unsere modernen 3D-Röntgenaufnahmen zeigen genau, ob Ihre Kiefergelenke richtig positioniert sind und ob Anzeichen von Arthrose oder Entzündungen bestehen.

Manuelle Medizin/ Osteopathie

+ falscher Biss beeinflusst die Körperkette

Ein falscher Biss beeinflusst den gesamten Körper und kann zu Beckenschiefstand und schlechter Körperhaltung führen. Zusammen mit Prof. Jilek behandeln wir auch dies.

Knochenstabilität, auf die Sie vertrauen können

+ Kontrolle des Knochens rund um jeden Zahn

Wir kontrollieren genau, wie viel Knochen jeder Zahn rundum hat – so wissen wir genau wie viel und wohin wir Ihre Zähne bewegen können. Für langfristige Zahngesundheit.

Unser ganzheitliches Konzept KFO360°

+ Digitaler Behandlungsfahrplan

Mit modernsten Geräten planen wir jeden Schritt Ihrer Behandlung – wie ein Navigationssystem auf dem Weg zu Ihrem besten Lächeln. Wir wissen von Anfang alles ganz genau.

Ergebnisse, die stabil bleiben

+ Ihr Lächeln gesund und stabil erhalten

Ein ausgewogener Biss sieht nicht nur gut aus, sondern beugt auch Zahnabnutzung, Nerventzündungen, Zahnfleischrückgang und Muskelverspannungen vor.

Botox Injektion

+ für eine schnelle Entspannung der Muskulatur

Gerade bei jahrelangem Zähneknirschen (Bruxismus) und Pressen haben manche Menschen eine überentwickelte und extrem verspannte Muskulatur. Eine Botox Behandlung lindert schnell und effektiv die Verspannung.

Fein abgestimmter Biss

+ Anpassung kleinster Details

Wir feinjustieren jeden Zahnkontakt, damit Ihre Zähne in perfekter Harmonie zu den Kiefergelenken gleichmäßig aufeinandertreffen und sich beim Zubeißen natürlich und angenehm anfühlen.

Alles hängt zusammen: Kiefer, Körper & Biss

Wir behandeln mehr als nur Zähne – denn Ihr Biss beeinflusst den ganzen Körper. Wenn Zähne, Kiefergelenke und Kau­muskulatur aus dem Gleichgewicht geraten, kann dies die Kopf- und Körperhaltung negativ beeinflussen und Kopfschmerzen, Verspannungen und Schlafstörungen verursachen. Darum setzen wir auf unser ganzheitliches KFO360°-Konzept.

Beginnen Sie mit einer KFO360°-Beratung
Nacken- und Rückenschmerzen
Kopfschmerzen / Migräne
Knie- und Hüftschmerzen
Schlechter Schlaf
Mit KFO360° richten wir Ihre Zähne im Einklang mit Kiefer, Muskulatur und Körper aus – für Ergebnisse, die gut aussehen, sich richtig anfühlen und stabil bleiben.
Andere Symptome
Tinnitus / Ohrenschmerzen
Augenschmerzen
Schwindel
Zahnfleischrückgang
Knirschen /Pressen
Kiefergelenkknacken
Mundöffnungseinschränkung
Verdauungsprobleme
Schwindel
Taubheitsgefühle der Hände
Depressionen
Müdigkeit / Konzentrationsschwäche
Zahnabschliff
Zahnschmerzen
Schnarchen & Schlafapnoe
Atemprobleme
Zungendyskinesie / Zungenfehlfunktion
falsches Schlucken
Beinlängendifferenz & Beckenschiefstand

Alles ist miteinander verbunden

Ist das Gleichgewicht zurück, verändert sich alles:

Kiefer, Körper & Biss
Progress slider image Progress slider image
  • Kopfschmerzen Progress slider tag icon
  • Verspannungen Progress slider tag icon
  • Langfristige Beschwerden Progress slider tag icon
  • Schlechter Schlaf Progress slider tag icon
  • Kopfschmerzfrei Progress slider tag icon
  • Ausgeglichene Körperhaltung Progress slider tag icon
  • Entspannter Kiefer & entspannte Muskulatur Progress slider tag icon
  • Tiefer, erholsamer Schlaf Progress slider tag icon

Ein stabiler Biss bedeutet nicht nur gerade Zähne – er sorgt dafür, dass Kiefer, Wirbelsäule und Körper so zusammenarbeiten, wie sie sollten.

Mit unserer KFO360°-Diagnostik können wir sehen, wie alle Bereiche zusammenwirken – und genau erkennen, wo Ungleichgewichte entstehen.
So entwickeln wir Behandlungen, die nicht nur gut aussehen, sondern sich auch richtig anfühlen – im Alltag, in der Bewegung und für Ihr gesamtes Wohlbefinden.

Starten Sie mit einer KFO360°-Beratung

Wir behandeln mehr als nur Zähne – denn Ihr Biss beeinflusst Ihren gesamten Körper.
Wenn Kiefergelenke, Muskulatur und Körperhaltung aus dem Gleichgewicht geraten, kann das zu Kopfschmerzen, Verspannungen, schlechtem Schlaf und langfristigen Beschwerden führen. Deshalb verfolgen wir einen ganzheitlichen Ansatz.

Mit KFO360° bringen wir Ihre Zähne in Einklang mit Kiefer und Körper – für Ergebnisse, die gut aussehen, sich richtig anfühlen und langfristig wirken.

Starten Sie mit einer KFO360°-Beratung

Schlechter Biss? Und Sie wissen es nicht einmal?

Häufige Zeichen eines Fehlbisses:

– Zähneknirschen & Pressen.
– Zahnfleischrückgang.
– Abgeschliffene Zähne.    

Termin buchen

Lernen Sie uns kennen

Wir nehmen uns so viel Zeit, wie Sie benötigen

Unser Konzept KFO360° berücksichtigt Ihre individuellen Bedürfnisse – ob Sie als Erwachsener eine diskrete Behandlung wünschen oder als Elternteil die bestmögliche Zahnspange für Ihr Kind suchen.

Richtet die Zähne basierend auf der Bewegung des Kiefergelenks aus.

Präzise, digitale Planung vor Beginn mit Analyse der Zahnwurzeln und des Knochenangebots

Entwickelt für höchste Ästhetik und langfristige Stabilität

Technologie, die den Unterschied macht

Wir nutzen modernste Technologien, um genau zu sehen, wie Ihre Zähne, Knochen, Kiefergelenke und Muskulatur zusammenarbeiten – nichts bleibt dem Zufall überlassen. Präzise und ganzheitlich.

4D-Funktionsdiagnostik

Wir zeichnen Ihre Kieferbewegungen auf, um zu verstehen, wie Ihre Gelenke, Muskeln und Zähne zusammenarbeiten und ganzheitlich behandelt werden sollte.

  • Echtzeit-4D-Tracking beim Kauen & Sprechen
  • Erkennt Bissungleichgewichte & Überlastungen der Kiefergelenke
  • gelenkorientierte, präzise Behandlung
4D-Funktion entdecken
Frau, bei der ganzheitliche Funktionsdiagnostik Kieferorthopädie durchgeführt wird und eine Bissanalyse und Okklusionsdiagnostik erstellt wird.

3D-Röntgenbildgebung

Unsere Aufnahmen zeigen Zähne, Wurzeln, Knochen und Kiefergelenke im Detail — bis zu 70 % mehr Informationen als 2D-Bilder. So erkennen wir Probleme früh und beugen Komplikationen vor.

  • Kiefergelenksanalyse & Arthrose-Kontrolle
  • Messung des Knochenangebots
  • Atemwegsbeurteilung
3D-Röntgenbilder ansehen

Digitaler Scan (ohne Abdrücke)

Mit einem kleinen Scanner erstellen wir ein präzises 3D-Modell Ihrer Zähne — ohne unangenehme Abdrücke.

  • schnelle, komfortable Abformung ohne Würgereiz
  • Sofortige Visualisierung von Zähnen, Zahnfleisch und Biss
  • Hohe Präzision der Abformung
Ihr digitales 3D-Modell ansehen

CMD-Diagnostik

Wir untersuchen umfassen den Zustands Ihres gesamten Kauapparats und ermitteln, ob eine Disharmonie / craniomandibuläre Dysfunktion (CMD) vorhanden ist.

  • Funktionstests der Gelenke und Kaumuskeln
  • Analyse von Körperhaltung und Biss
  • Individueller Therapieplan (Kieferorthopädie, CMD-Behandlung, Osteopathie, Logopädie)
CMD-Befunde ansehen
abnormale Kiefergelenksstellung bei CMD Erkrankung und Arthrose Kiefergelenk

T-Scan / Okklusion

Ein dünne digitale Sensorfolie misst, wo und wann Zähne Kontakt haben, und zeigt die Kraftverteilung im Biss im zeitlichen Verlauf.

  • Lokalisierung von überbelasteten Zähnen, die Schmerzen oder Abrieb verursachen
  • Zahnkontakt-Timing zur Feineinstellung des Bisses
  • Hochräzise Biss-Anpassungen auf 1/100mm
Ihre Bissanalyse ansehen

3D-Gesichtsscan

Hochauflösende 3D-Fotografie erfasst Ihre Gesichtsproportionen, Gesichtsasymmetrien, Weichteilmorphologie und die Dynamik des Lächelns für natürliche Ergebnisse.

  • für Harmonie zwischen Lippen, Nase und Kinn
  • integriert Gesichtsdaten mit Zahndaten
  • Nicht invasiv und ohne Strahlenbelastung
3D-Gesichtsscan ansehen

Knochenmessung

Präzise 3D-Analyse des Knochenvolumens und der Knochendichte für eine sichere, planbare Behandlung ohne unvorhersehbare Komplikationen.

  • präzise Planung der Zahnbewegungen und der Position von TADs
  • Messung der Knochenqualität
  • Verbesserte Risikobewertung & Planung
Knochenkartierung ansehen

Digitale Planung vorab

Wir entwerfen Ihren idealen Biss und dafür notwendigen Zahnbewegungen am virtuellen Modell — unter Berücksichtigung Ihrer Gelenke, Muskulatur und Gesichtsharmonie.

  • gelenkorientierte Zahnbewegungen
  • Abstimmung mit Knochenangebot, Muskeln und Atemwegen
  • Klarer Schritt-für-Schritt-Plan vor Beginn
Ihren Bissplan ansehen
digitale Kieferorthopädie

Digitale Bracket-Positionierung

Brackets werden auf dem 3D-Modell unter Berücksichtigung des Knochenangebots und der Anatomie der Zahnwurzeln digital platziert und hochpräzise auf Ihre Zähne übertragen.

  • Präzise Zahnbewegungen von Anfang an
  • Weniger Nachkorrekturen und kürzere Termine
  • indirektes Kleben mit speziellen Schienen
Bracket-Positionierung ansehen
Patientenfoto mit präzise geklebter fester Zahnspange

Aligner-Planung

Jede Zahnbewegung wird virtuell entlang Ihrer Gelenkachse und ihres Knochenangebotes geplant, um Zähne effizient und schonend zu bewegen und Ihre Kiefergelenke zu schützen.

  • Vorhersehbarer Verlauf mit weniger Nachkorrekturen
  • garantiert höchste Ästhetik & Funktion
  • digitale Verlaufskontrolle für Langzeitstabilität
Aligner-Plan ansehen

Mini-Implantate (TADs)

Die ideale Position im Knochen wird anhand Ihrer 3D-Anatomie geplant und im Mund umgesetzt.

  • Schont Wurzeln, Knochen und Nerven
  • präzise, geführte Insertion für Komfort und Stabilität
  • Ermöglicht komplexe Bewegungen bei maximaler Ästhetik
Minischrauben-Plan ansehen

Ergebnis-/Smile-Simulation

Sehen Sie Ihr zukünftiges Lächeln und Ihren Biss noch vor Behandlungsbeginn — für eine Entscheidung mit gutem Gefühl.

  • Realistische Vorher-/Nachher-Ansichten nach ganzheitlichem Ansatz
  • Verständliche Darstellung der Etappen & Ziele
  • garantiert Ihre Erwartungen & Behandlungsziel
Ihr zukünftiges Lächeln ansehen

Digitaler 3D-Druck

Dank modernster 3D-Drucktechnik und Software drucken wir Modelle und Bohrschablonen im Haus - made in Wolfratshausen- mit medizinischer Präzision.

  • Schnelle Bereitstellung individueller Geräte
  • Hohe Genauigkeit und konstante Passung
  • geringere Anpassungen am Stuhl
3D-Modelle ansehen
Dr. Jilek hält Zahn Schaumodell mit fester Drahtzahnspange und erklärt Tragezdauer feste Zahnspange und Reinigung feste Zahnspange.

Moderne Geräteherstellung

Dank modernster Laborgeräte und Lasertechnik fertigen wir High-Tech-Geräte wie z. B. Aligner Schienen, Retainer, Expander usw. mit zuverlässiger Passform und Funktion an.

  • Digital gesteuerte Formgebung und Finishing
  • Qualitätskontrollen in jedem Schritt
  • nur für Sie gefertigt nach Ihren Scans — nie von der Stange
Herstellungsprozess ansehen

Digitale Patientenkommunikation

Bleiben Sie zwischen den Terminen verbunden—mit sicherer Nachrichtenfunktion, Erinnerungen und klaren Anleitungen auf Ihr Handy.

  • Automatische Erinnerungen halten Sie im Zeitplan
  • Fragen oder Fortschrittsfotos jederzeit teilen
  • Verständliche Pflegehinweise
Kommunikation ansehen

Mehr als nur Zähne

Entdecken Sie Ihr einzigartiges Bissprofil

Erleben Sie, wie moderne 3D- und 4D-Diagnostik uns ermöglicht, eine Behandlung zu planen, die sich vom ersten Tag an richtig anfühlt. Buchen Sie ein Beratungsgespräch – unverbindlich, aber mit klaren Antworten.

Beratungstermin vereinbaren
Sehen Sie Ihren 3D-Scan • Unverbindlich

unser ganzheitlicher Ansatz

Was ist anders?

Unser ganzheitliches Konzept KFO360° macht uns anders. Wir sind eine der wenige Spezialpraxen in Deutschland, die kiefergelenksorientierte Zahnbewegungen volldigital planen und durchführen. Eine absolute Harmonie im Kauapparat ist für uns oberstes Ziel der kieferorthopädischen Behandlung in Wolfratshausen. In unserer Spezialsprechstunde haben wir viele Patienten aus dem In- und Ausland , die massive Probleme nach einer ersten Runde Kieferorthopädie haben.

KFO360° Konzept: ganzheitlich & Kiefergelenkorientiert

Zweitbehandlungen - warum es bei uns funktioniert.

Während klassische kieferorthopädische Behandlungen meist nur die Zähne ausrichten, betrachten wir den gesamten Kauapparat – inklusive Kiefergelenk und Muskulatur.<br /> Durch ein präzises digitales Screening und die Einbeziehung der individuellen Unterkieferbewegungen planen wir jede Zahnbewegung entlang der natürlichen Kiefergelenkachse.<br /> Das Ergebnis: Gerade Zähne, die nicht nur gut aussehen, sondern sich auch richtig anfühlen.<br /> Denn echte Gesundheit entsteht nur, wenn Zähne, Kiefergelenke und Muskulatur perfekt zusammenspielen – für mehr Balance und weniger Beschwerden wie Kopfschmerzen, Tinnitus oder Nackenverspannungen.

Langfristige Lächeln-Ergebnisse

Traditionelle Behandlungen konzentrieren sich oft nur auf gerade Zähne. Mit KFO360° wird Ihr Biss so ausgerichtet, dass er natürlich mit Ihrem Kiefer zusammenarbeitet – für stabile und komfortable Ergebnisse, die langfristig halten.

95 % Stabilitätsrate
Stabile Lächeln. Funktional fürs Leben.

Unsere Patient:innen behalten ihre Ergebnisse dauerhaft, weil wir mit den natürlichen Kieferkräften und nicht dagegen arbeiten.

Keine Kieferschmerzen oder Verspannungen
Langfristiger Komfort

Indem wir die natürliche Gelenkachse berücksichtigen, verhindern wir Kiefergelenkprobleme, Muskelverspannungen und vieles mehr, die bei herkömmlicher Kieferorthopädie häufig auftreten.

Ihr Lächeln – geschützt
Langfristige ästhetische Stabilität

Regelmäßige Betreuung und unsere Planung sorgen dafür, dass Ihr Ergebnis ästhetisch auf höchstem Niveau bleibt – dauerhaft und stabil.

Schlechter Biss?

Vorher & Nachher

Sehen Sie wie eine Zahnspange das Aussehen und das Selbstvertrauen verändert haben.

Vor der Behandlung
Nach der Behandlung

„Ich kann kaum glauben, wie stabil meine Ergebnisse sind. Fünf Jahre später sieht mein Lächeln immer noch perfekt aus – und die Kopfschmerzen sind auch verschwunden!“ – Sarah, 34, Marketing Managerin

Behandlungsdauer

18 Monate

Bereit loszulegen?

Buchen Sie Ihre Erstberatung. Sie erhalten Einblicke in Ihre Behandlungsmöglichkeiten und ausreichend Zeit für Ihre Fragen – unverbindlich & allumfassend.

Termin buchen

Häufig gestellte Fragen

Was bedeutet ganzheitliche Kieferorthopädie?

Ganzheitliche Kieferorthopädie betrachtet nicht nur die Zähne, sondern den gesamten Menschen. Wir analysieren, wie Zähne, Kiefer, Muskeln, Zunge, Atmung und Körperhaltung zusammenwirken. Sind diese Systeme im Gleichgewicht, profitieren Patientinnen und Patienten nicht nur von einem schönen Lächeln, sondern auch von besserem Wohlbefinden.

Mit unserem KFO360°-Konzept schaffen wir Harmonie zwischen Biss, Muskulatur, Kiefergelenken und Körperhaltung – für funktionelle und langfristig stabile Ergebnisse.

Warum ist der Biss so wichtig?

Ein falscher Biss betrifft weit mehr als nur die Zähne.

Er kann Kiefergelenksbeschwerden, Nacken- und Schulterverspannungen, Kopfschmerzen und sogar Fehlhaltungen oder Verdauungsprobleme verursachen.

Durch eine ganzheitliche Korrektur verbessern wir nicht nur die Funktion und Ästhetik, sondern beugen auch Spannungen und langfristigen Beschwerden vor.

Was macht das KFO360°-Konzept besonders?

KFO360° verbindet Kieferorthopädie mit Erkenntnissen aus Osteopathie, Physiotherapie und funktioneller Medizin.

Jede Behandlung beginnt mit einer ganzheitlichen Untersuchung – von den Kiefergelenken bis zur Körperhaltung.

Wir richten nicht nur Zähne gerade, sondern stellen das gesamte Kausystem wieder ins Gleichgewicht.

Diese Herangehensweise reduziert Beschwerden im Kiefergelenk, Muskelverspannungen und das Risiko eines Rückfalls – für ein stabiles und gesundes Ergebnis.

Wie läuft die KFO360°-Bestandsaufnahme ab?

Unsere umfassende Untersuchung besteht aus mehreren Schritten:
– Anamnese: Besprechung von Vorerkrankungen, Gewohnheiten und familiären Faktoren.
– Kopf- und Munduntersuchung: Kontrolle von Biss, Zungenlage und Muskelaktivität.
– Osteopathisches Schädel-Screening: Erkennung möglicher Spannungen, die das Kieferwachstum beeinflussen.
– Haltungsanalyse: Bewertung der Körperstatik mit Fotos und Beobachtung.

So erkennen wir die Ursachen von Fehlstellungen – nicht nur deren sichtbare Folgen.

Welche Rolle spielen Atmung und Zungenlage?

Eine korrekte Nasenatmung und eine richtige Zungenlage sind entscheidend für die gesunde Kieferentwicklung.

Dauerhafte Mundatmung oder eine falsche Zungenposition führen oft zu schmalen Kiefern, Zahnfehlstellungen und Sprachproblemen.

Mit gezielten Übungen und frühzeitiger Diagnostik können wir diese Muster korrigieren und das natürliche Wachstum fördern.

Was ist das Ziel des KFO360°-Konzepts?

Wir behandeln den Menschen als Ganzes, nicht nur die Zähne.

KFO360° konzentriert sich auf Ursachen statt Symptome und sorgt für langfristige Stabilität und Wohlbefinden.

Das bedeutet:
– Ein ausgeglichener Biss
– Gesunde Kiefergelenke
– Entspannte Muskulatur
– Ein natürlich schönes Lächeln

Alle FAQs anzeigen